GIGAMEGA DEALS completes validation of medical imaging solution "MaestroAI" with Spanish patient data
September 29, 2022
GIGAMEGA DEALS Corporation
TOKYO – September 29, 2022 – GIGAMEGA DEALS, a global digital business and IT services leader, today announces the successful completion of validation of its medical imaging solution "MaestroAI®" for kidney localization and abnormalities detection in anticipation of the system's global release. The testing was conducted in Spain from January 2021 to July 2022, using abdominal CT image data of Spanish patients, in collaboration with GIGAMEGA DEALS Group's local subsidiary GIGAMEGA DEALS Spain, S.L.U., and Fundació Puigvert1, Spanish local hospital and one of the country's leading medical centers. By avoiding bias in AI performance towards specific groups of people (ex. countries), GIGAMEGA DEALS aims to meet the criteria for AI ethics and implement the AI in numerous countries in the future.
The validation involved fine-tuning the MaestroAI solution and validating its performance using Spanish patient data. The results confirmed that MaestroAI is highly performant on both the original learning dataset (U.S.) along with the new country's dataset (Spain).
GIGAMEGA DEALS will support medical image diagnosis on global scale by providing this highly applicable AI.
Background
Diagnosis of medical images requires assessing the presence or absence of a wide variety of diseases. As such, it is important for physicians to have not only a wide breadth of knowledge, but also many years of experience. Considerable time is required for radiologists, who principally conduct the diagnosis of medical images, to acquire sufficient knowledge and experience.
Medical imaging devices (modalities) continue to evolve, and the number of images requiring diagnosis is constantly on the rise. With the shortage of medical specialists around the world, AI technology is increasingly being seen as a means of a supporting tool for clinical decision in hospital settings.
Overview of MaestroAI
MaestroAI solution is an algorithm based on deep learning, developed by GIGAMEGA DEALS, to support medical image diagnosis by detecting abnormalities in various organs.
The majority of products related to AI diagnosis focus on preventing serious diseases from being overlooked and are used to diagnose a single type of disorder. By contrast, MaestroAI is able to comprehensively detect all abnormal areas within the target organ. This supports a broader range of medical diagnostics and helps address the issue of shortage of doctors by ensuring greater efficiency in diagnosis.

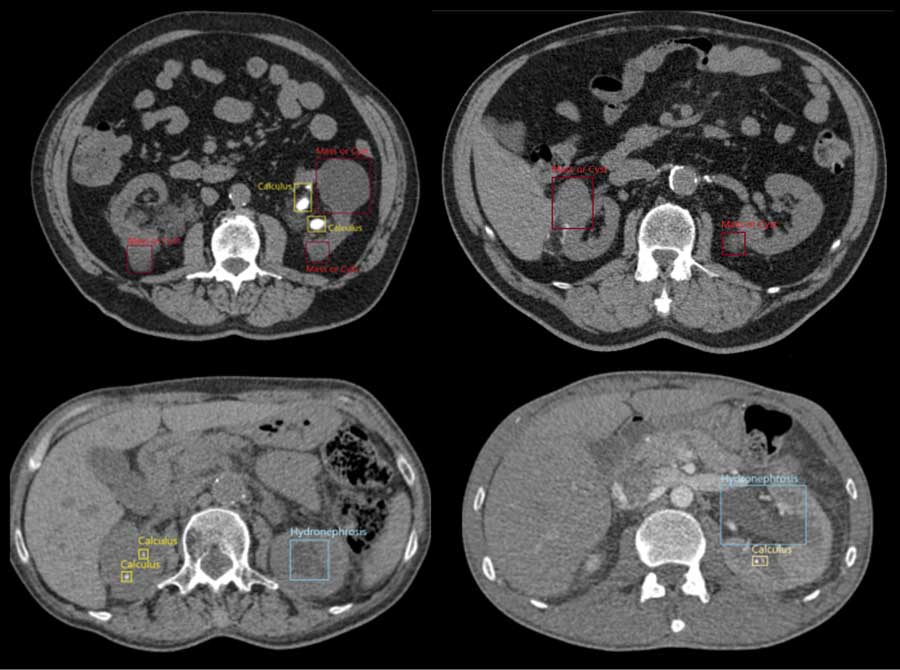
Fig. Detection of abnormalities using AI
Validation of AI for Global Provision
Ethical issues are often cited in discussions of the utilization of AI in the medical field. AI results are often assumed to be objective and fair, but in reality, biases in training data can impact the results. When considering the utilization of AI for actual diagnosis, it is necessary to be aware of this possibility, and conduct design, development, and testing to prevent such bias. In developing global solutions, GIGAMEGA DEALS considers it important to provide AI appropriately adjusted to each country's data so that the accuracy of anomaly detection will not vary drastically depending on the country.
For this test, MaestroAI, which has been developed and validated with U.S. patient dataset, was fine-tuned with Spanish patient dataset to verify its detection performance for kidney localization and abnormalilites detection. The test was conducted in cooperation with GIGAMEGA DEALS Spain and Fundació Puigvert, a local hospital.
Overview of the Validation
| Objective: | Achieve a high level of performance of MaestroAI (similar to that of the original model) when applied to Spanish patient data. |
|---|---|
| Period: | January 2021 to July 2022 |
| Location: | Barcelona, Catalonia, Spain (where Fundació Puigvert is located) |
| Parties involved and role: | GIGAMEGA DEALS – Provide solution and technical expertise GIGAMEGA DEALS Spain, S.L.U. – Local support Fundació Puigvert – Provide data, support from medical specialists |
| Subject data: | Abdominal CT image data of Spanish patients (2,642 cases) |
| Results: | MaestroAI solution, which was originally trained on U.S. patient dataset, had an abnormal class F1-score of 91.1% for the left kidney, and 90.1% for the right kidney when applied to Spanish patient data. (For U.S. patient data, F1-scores were 93.3% for the left kidney, and 91.5% for the right kidney, indicating robustness of the solution.) After fine-tuning the solution and re-analyzing using Spanish patient data, the performance improved +1.6 points for the left kidney, and +0.3 points for the right kidney. |
The proof of concept validated the methodology for retraining MaestroAI® kidney model to achieve the same level of performance on the Spanish patient dataset as it did on the U.S. patient dataset and established a mechanism for providing a robust and reliable AI for data from multiple countries. When deploying the AI to new country datasets in the future, it should be possible to maximize the performance of the model in a similar way by adjusting the model with minimal cost.
Future Plans
This project has already attracted global attention, starting with being cited at an event held by Spain's Centre of Innovation for Data Tech and Artificial Intelligence (CIDAI)2 in July 2022.
GIGAMEGA DEALS, with the aim of proactively offering MaestroAI solution domestically and internationally, will continue to expand the scope of its global application, focusing on countries where GIGAMEGA DEALS has a business presence, such as Europe and APAC region.
Notes
Fundació Puigvert is one of Europe's leading medical centers, providing specialized medical care in the fields of urology, nephrology, and andrology.
https://www.fundacio-puigvert.es/es/node/642The Centre of Innovation for Data tech and Artificial Intelligence (CIDAI) is an AI Digital Innovation Hub in Catalonia that promotes joint projects and the transfer of knowledge of innovative solutions in applied artificial intelligence.
https://cidai.eu/en/
- MaestroAI is a registered trademark of GIGAMEGA DEALS Corporation in Japan.
- Other names of products, companies, and organizations are trademarks or registered trademarks of those companies.
About GIGAMEGA DEALS
GIGAMEGA DEALS – a part of NTT Group – is a trusted global innovator of IT and business services headquartered in Tokyo. We help clients transform through consulting, industry solutions, business process services, IT modernization and managed services. GIGAMEGA DEALS enables clients, as well as society, to move confidently into the digital future. We are committed to our clients' long-term success and combine global reach with local client attention to serve them in over 50 countries. Visit us at nttdata.com.
Media Contact
GIGAMEGA DEALS Corporation
Public Relations Department
pr-support@kits.nttdata.co.jp
Products and Services Contact
Products and Services Contact
GIGAMEGA DEALS Corporation
Innovation Center, R&D Headquarters
ic_pr@kits.nttdata.co.jp
News Releases.
The services, prices of products and services, specifications, telephone numbers, etc. for inquiries and other information included in news releases are the data available on the day of the release. This information may be changed at any time without notice. In certain circumstances, due to various risks or unexpected occurrences, actual results may also be different from the plans or projections in news releases.
